-
Центр медицины и красотыКлиника стоматологии и косметологии
-
Детский Университет «Эстетик»Школа Робототехники и Программирования
Ключевые навыки:
- Удаление зубов любой сложности (ретинированных и дистопированных)
- Диагностика и лечение заболеваний пародонта
- Диагностика и лечение заболеваний слизистой оболочки полости рта
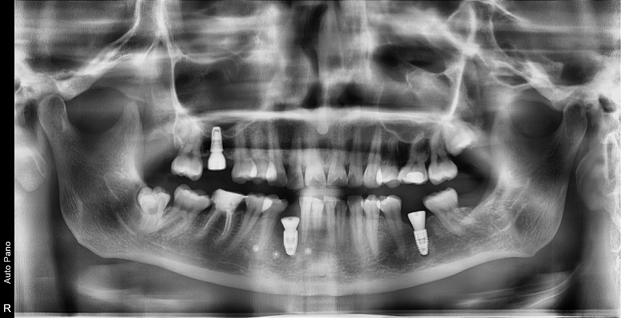
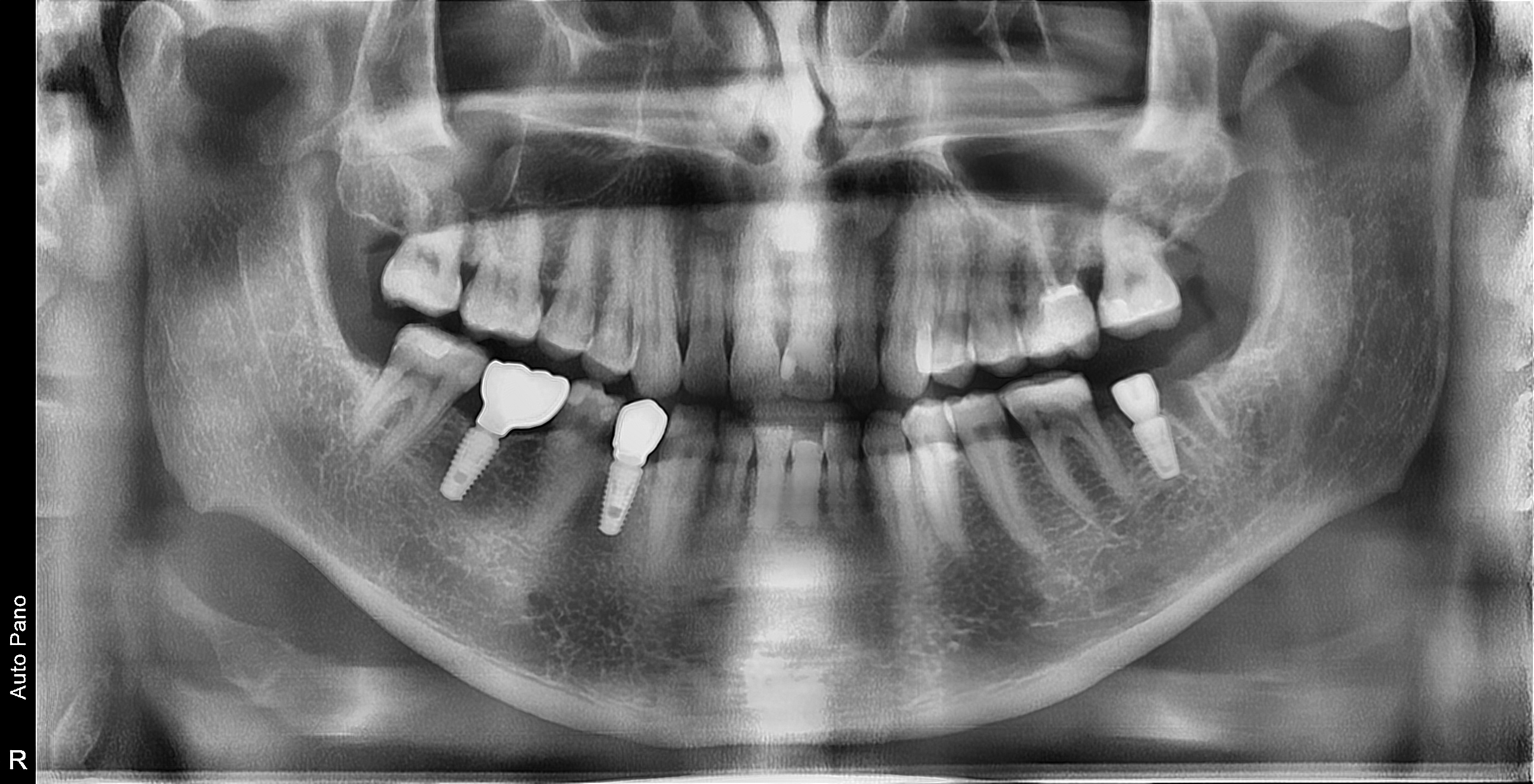
- Дентальная имплантация в полном объёме
- Открытый и закрытый синус лифтинг
- Костная пластика по методике направленная костная регенерация
- Диагностика и лечение заболеваний слюных желез
- Зубосохраняющие операции
Образование:
- 15.04.2025Кандидат медицинских наук
- 2018г. по н.в.аспирантура ФГБУ ЦНИИС и ЧЛХ
- 2018г.окончил ординатуру ФГБУ ЦНИИС и ЧЛХ по специальности "стоматология хирургическая"
- 2016г.окончил интернатуру МГМУ им И.М. Сеченова по специальности "стоматология ‘общей практики"
- 2015г.окончил университет МГМСУ им А.И. Евдокимова по специальности "стоматология"
Дополнительное образование:
- 2019г.International Osteology Symposium Barcelona, 25-27 апреля
- 2019г.Открытый и закрытый синус-лифтинг - Ильгам Уразбахтин
- 2019г.BBA concept - Frank Zastrow, Германия, 21-22 мая
- 2019г.CAD/CAM система CEREC
- 2018г.Реабилитация пациентов при полной адентии по концепции All-on-4, Тарас Юров
- 2017г.Dentsply Sirona Implants, Швеция, 29-30 мая
- 2016г.продвинутые методики протезирования с опорой на имплантаты — от планирования до реализации — Фернандо Рохас - Вискайя
- 2016г.Современные концепции аугментации при работе с твердыми и мягкими тканями
- 2015г.Международный симпозиум «квинтэссенция пародонтологии и имплантологии. Сохранение зубов или своевременная имплантация»
Москва, Алтуфьевское шоссе, 56
