-
Центр медицины и красотыКлиника стоматологии и косметологии
-
Детский Университет «Эстетик»Школа Робототехники и Программирования
Ключевые навыки:
- Проведение полной профессиональной консультации по здоровью зубочелюстной системы, составление комплексного плана лечения, рекомендации по поддержанию качественной гигиены полости рта, обучение правильной технике чистки зубов, анализ снимков на визиографе и рентген-аппарате, анализ Клкт снимков
- Проведение профессиональной гигиены полости рта по GBT-протоколу на аппарате AIRFLOW® PROPHYLAXIS MASTER
-
Клиническое отбеливание зубов на аппарате Philips zoom white speed
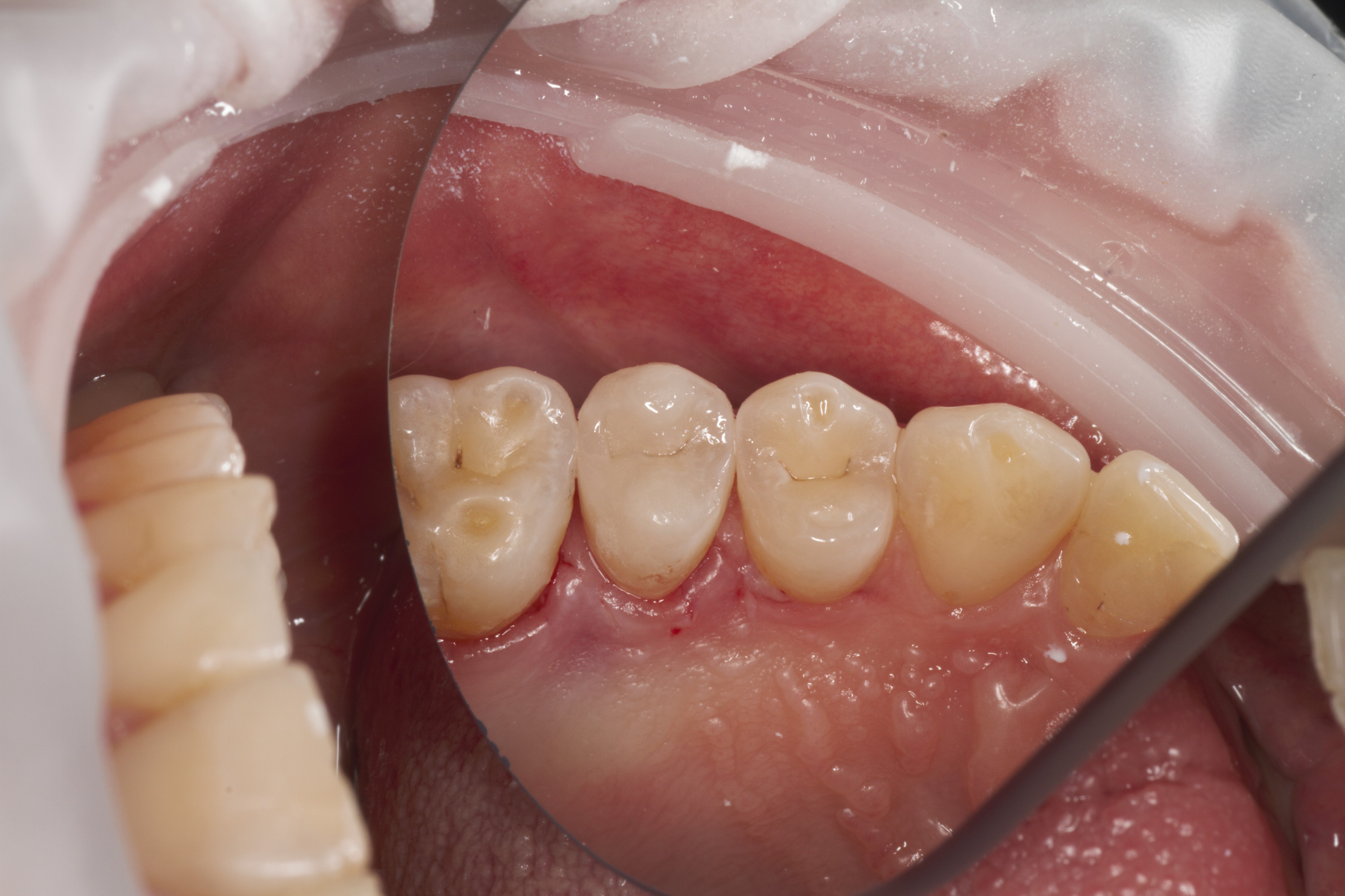
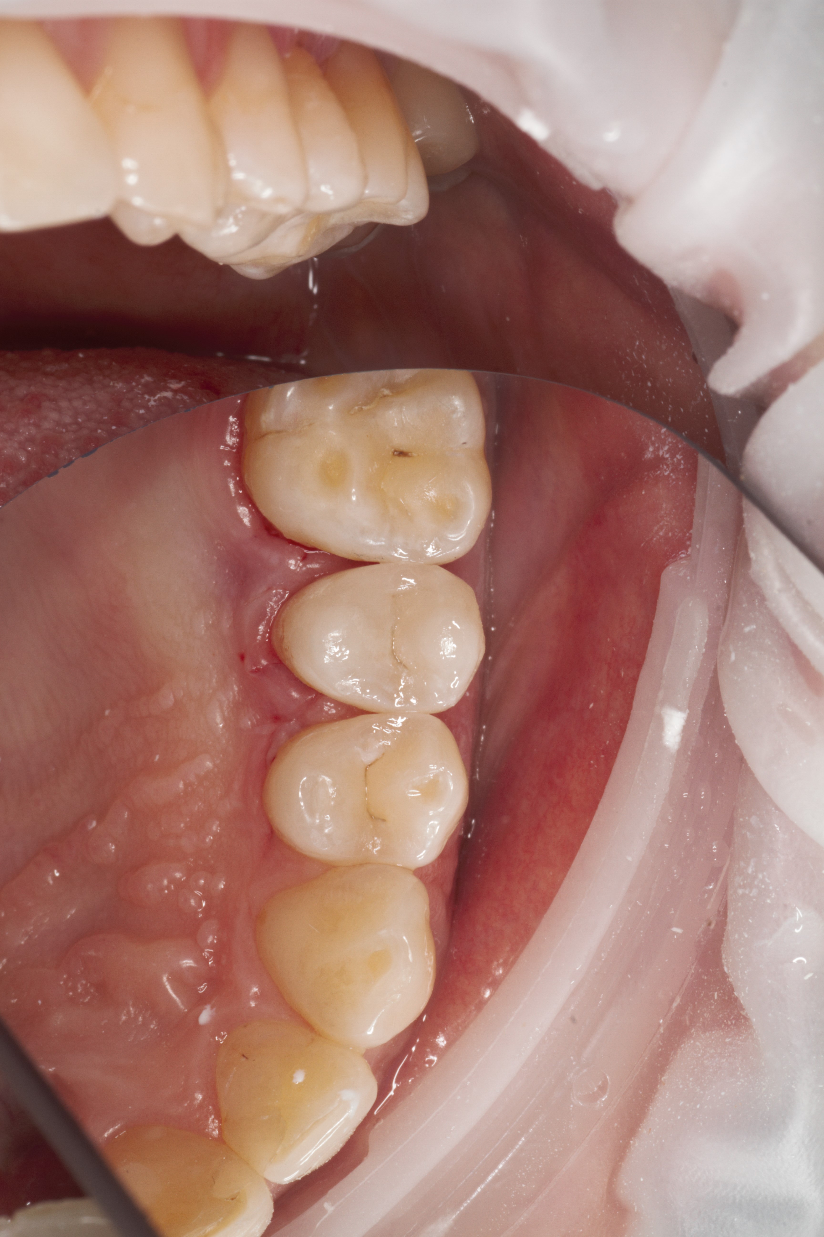
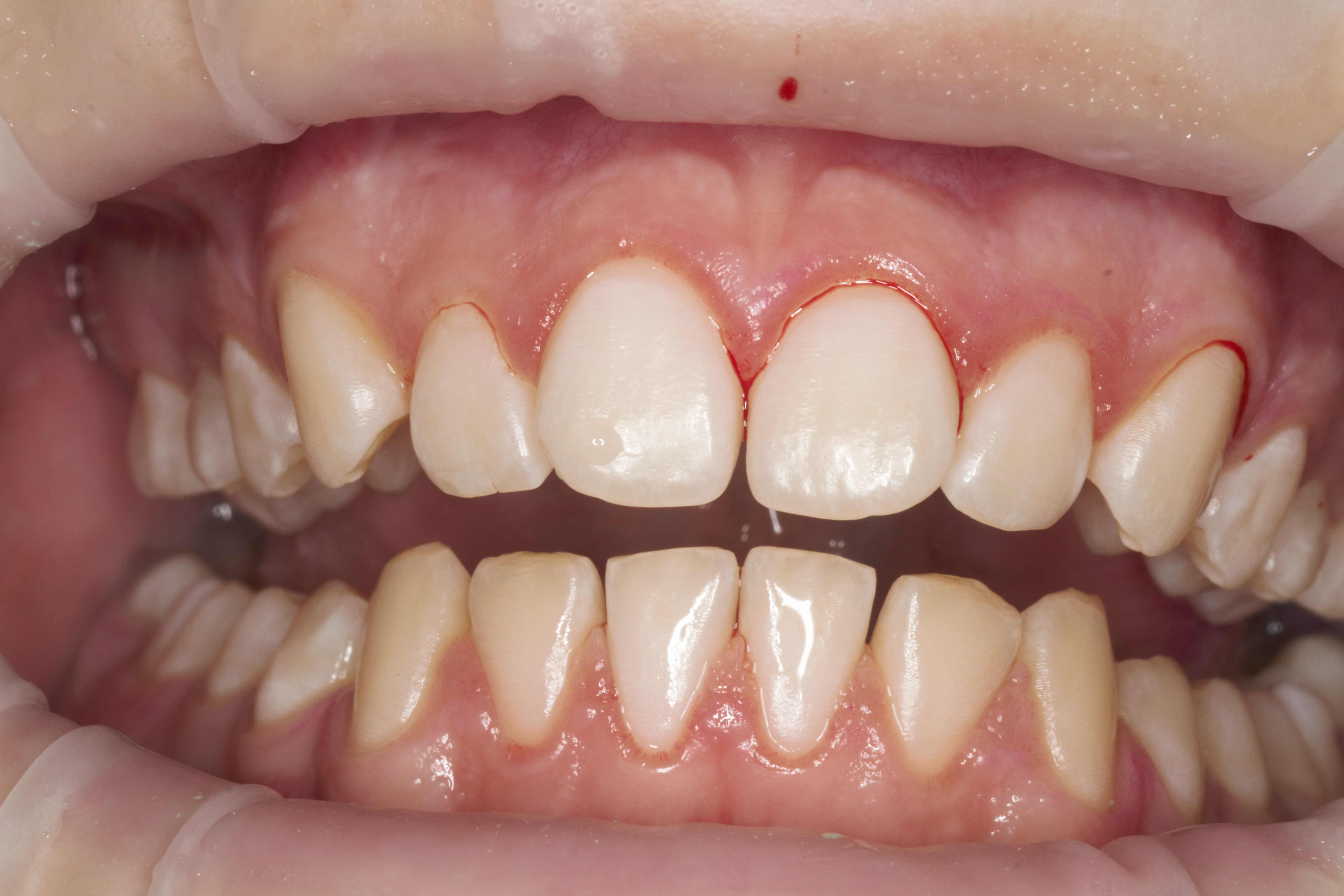
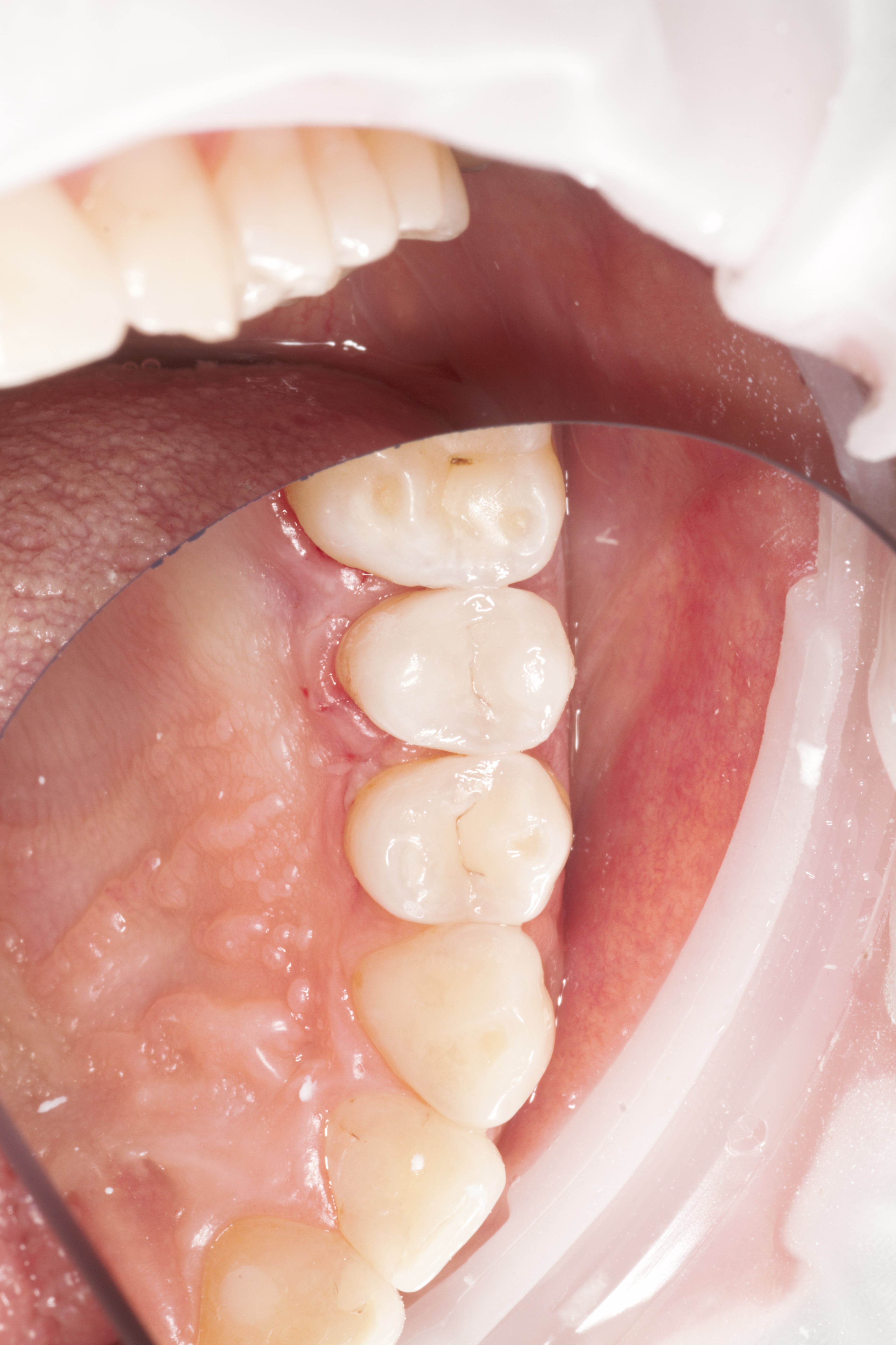
- Эстетическая реставрации жевательной и фронтальной группы зубов современными пломбировочными материалами, диагностика кариеса на ранних этапах развития, предупреждение образования вторичного кариеса в области запломбированных зубов
- Владение современными методиками пломбирования корневых каналов, обработки и распломбировки многокорневых зубов любой степени сложности
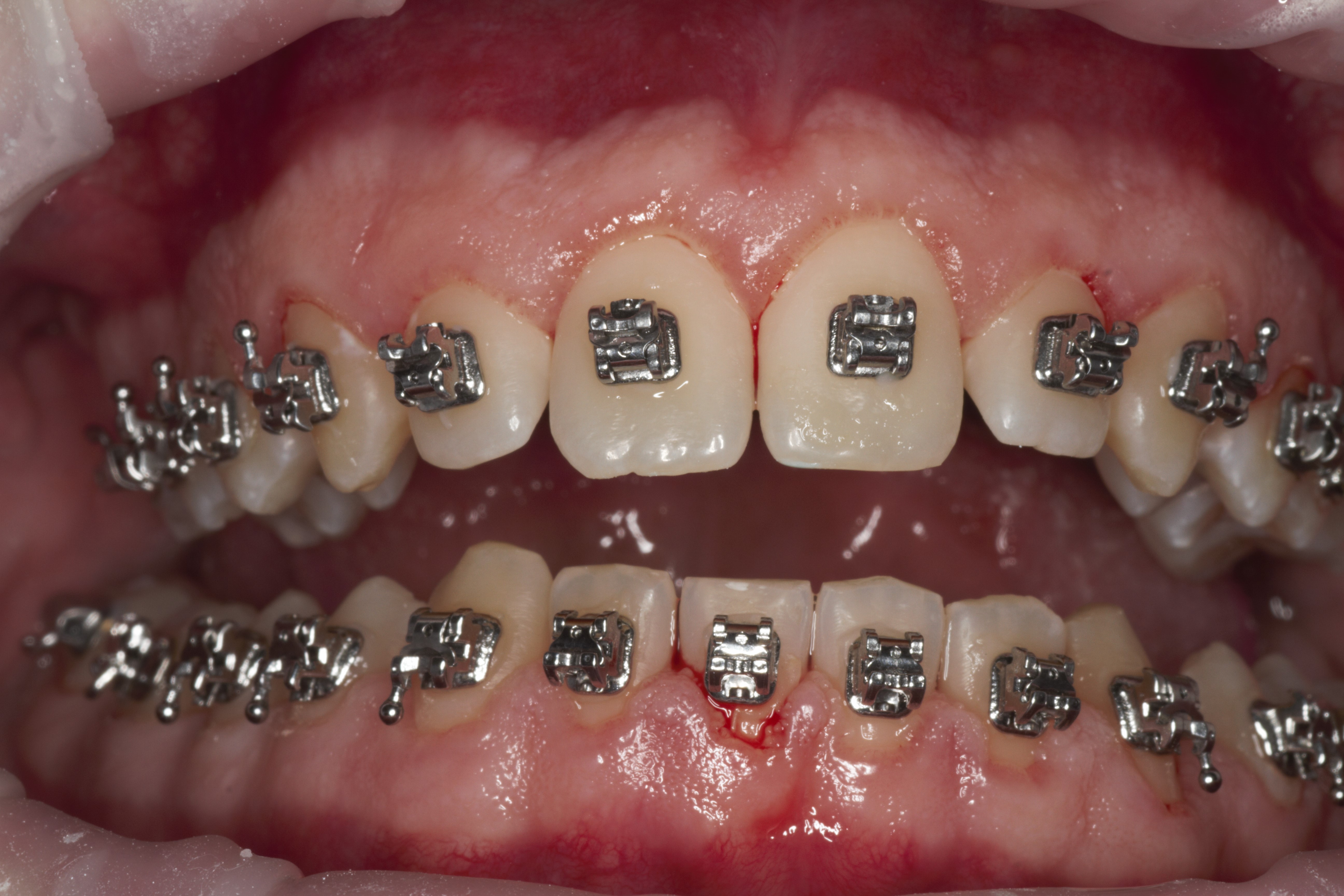
- Подготовка зубов к ортопедическому и ортодонтическому лечению, с учетом назначенного плана лечения
Образование:
- 2023Элементы эриксоновского гипноза в работе детского стоматолога
- 2023Неотложная помощь в амбулаторной стоматологической практике, комфортная и безопасная анестезия
- 2023ООО "Школа практической психологии"
- 2021г.Практический курс «Реставрация фронтальных зубов»
- 2021г.Обучение по курсу Guided Biofilm Therapy (GBT)
- 2019г.первый конкурсный фестиваль по реставрационной стоматологии РЕСТОФЕСТ
- 2019г.повышение квалификации "Стоматология терапевтическая"
- 2019г.курс "Повторное эндодонтическое лечение. Консервативные и хирургические методы"
- 2018г.курс "bleach-реставрации"
- 2017г.практический курс "Препарирование зубов под коронки"
- 2016г.Курс по отбеливанию зубов с применением технологии Philips Zoom WhiteSpeed
- 2015г.МГМСУ - профессиональная переподготовка "Стоматология ортопедическая"
- 2015г.посещение 11-ого международного семинара VDW. Medical consulting group "Эндодонтические аспекты в эндодонтии".
- 2015г."Учебный курс по непрямым реставрациям зубов", Стомпорт.
- 2015г.Художественная реставрация зубов. Методика Сергея Радлинского.
- 2014г.посещение 10-ого Международного эндодонтического семинара VDW.
- 2014г.Перелечивание ортоградная ревизия). клинические решения и техника".
- 2014г.обучение в Medical consulting group "Сложная эндодонтия: трещины, переломы, открытый апекс. Предотвращение, лечение."
- 2013г.обучение "Новые подходы в лечении кариеса", "Новые подходы в реставрации зубов", Dentsply
- 2013г.обучение в РУДН на кафедре эстетической стоматологии, получение специализации стоматолога - терапевта
- 2011-2012гг.прохождение интернатуры в МГМСУ на кафедре общей и эстетической стоматологии ФПДО
- 2011г.Закончила МГМСУ, присвоена квалификация врач-стоматолог
Москва, Алтуфьевское шоссе, 56
