-
Центр медицины и красотыКлиника стоматологии и косметологии
-
Детский Университет «Эстетик»Школа Робототехники и Программирования
Ключевые навыки:
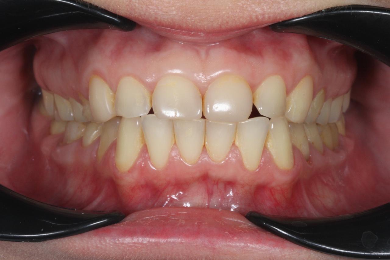
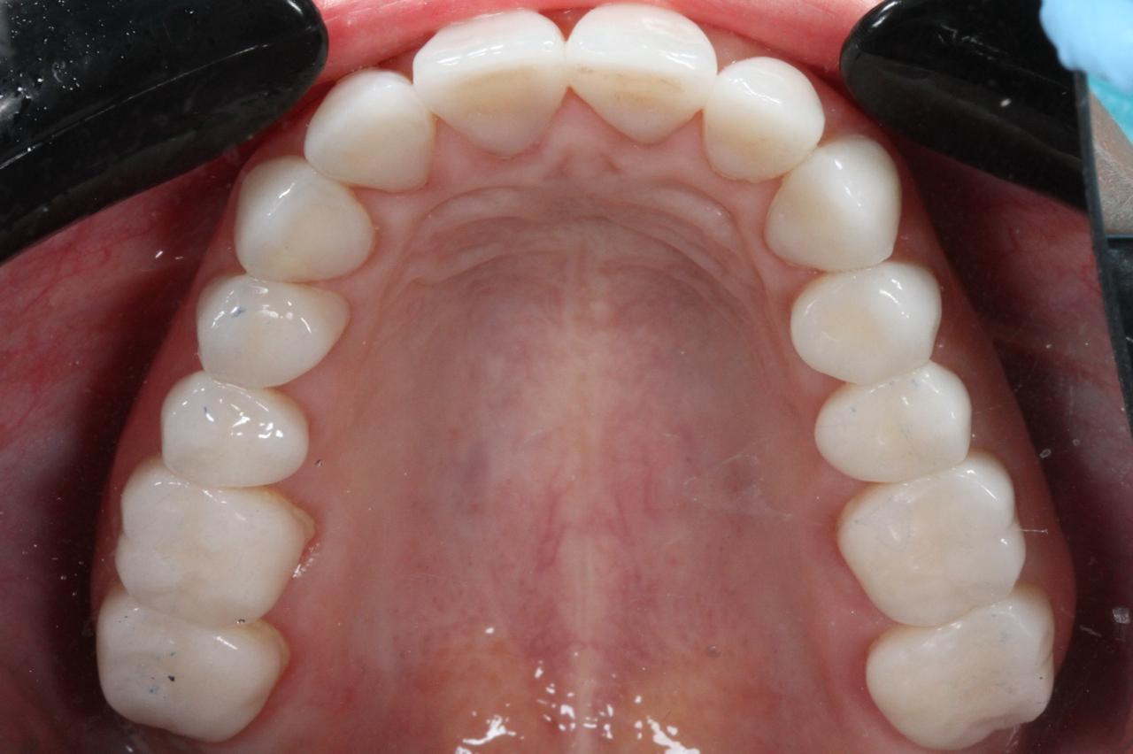
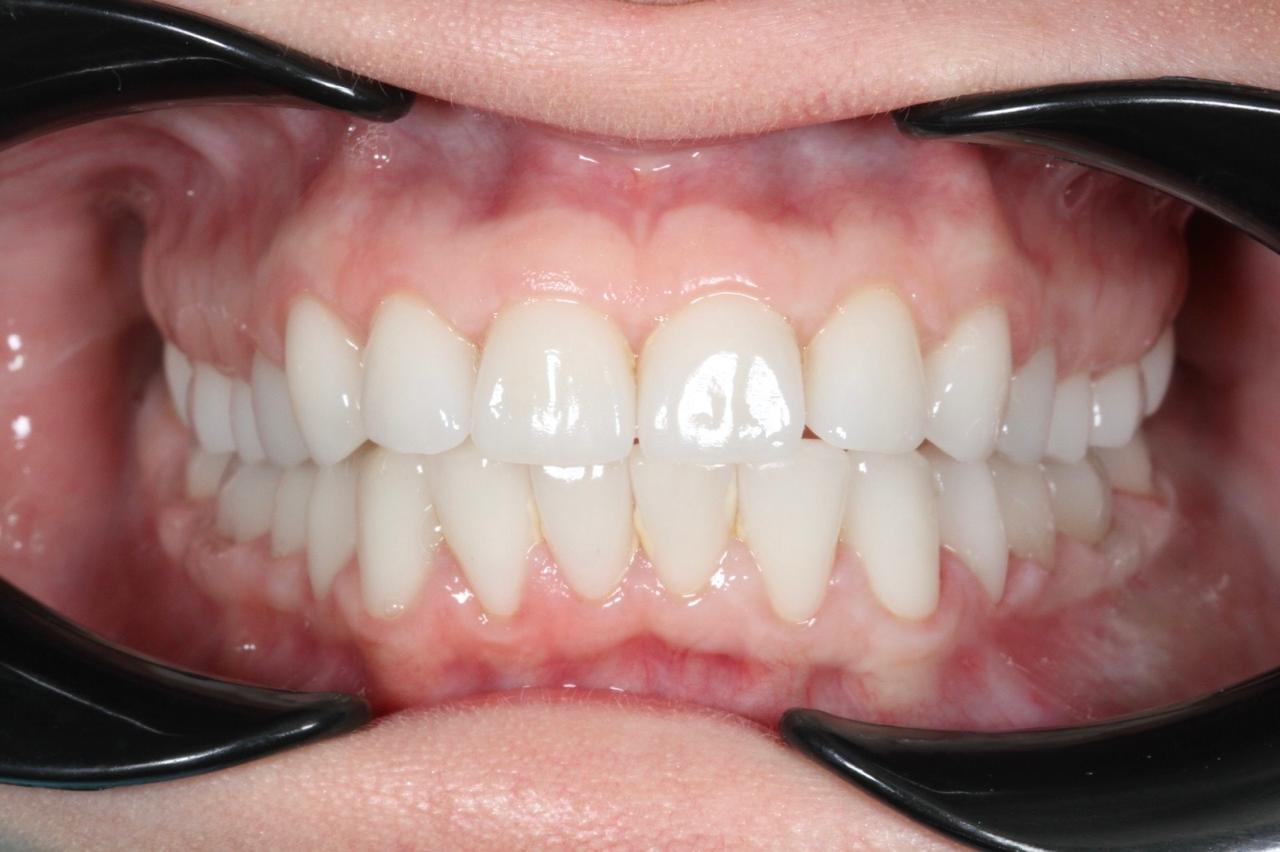
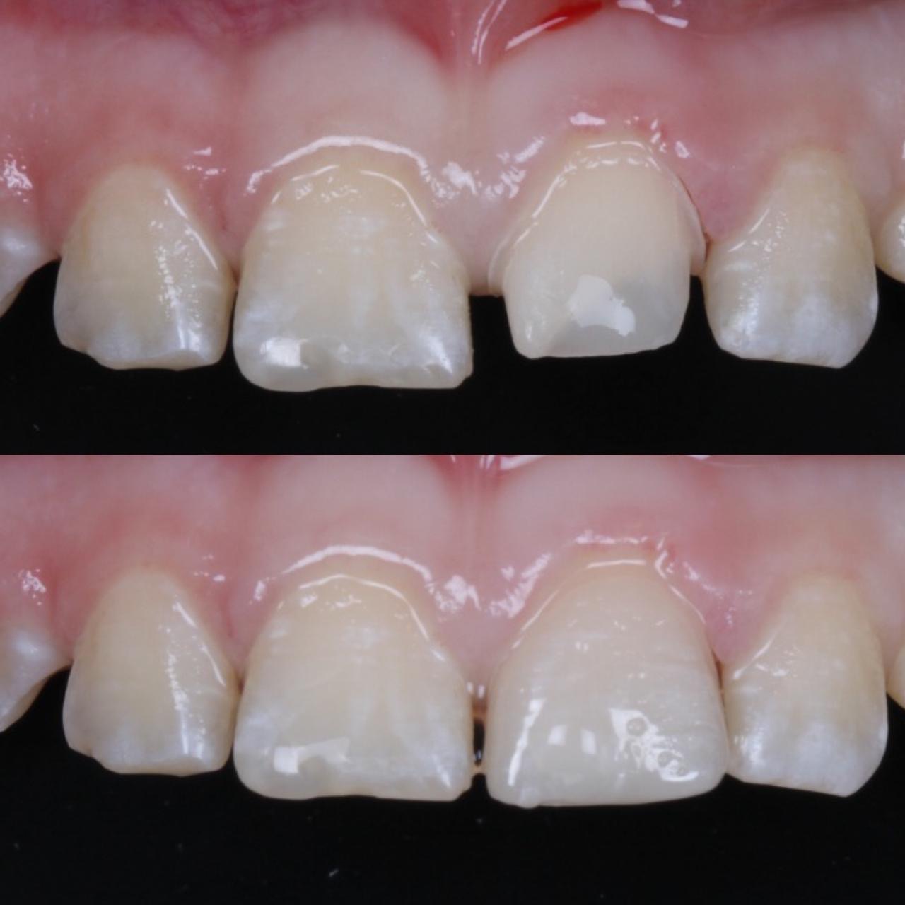
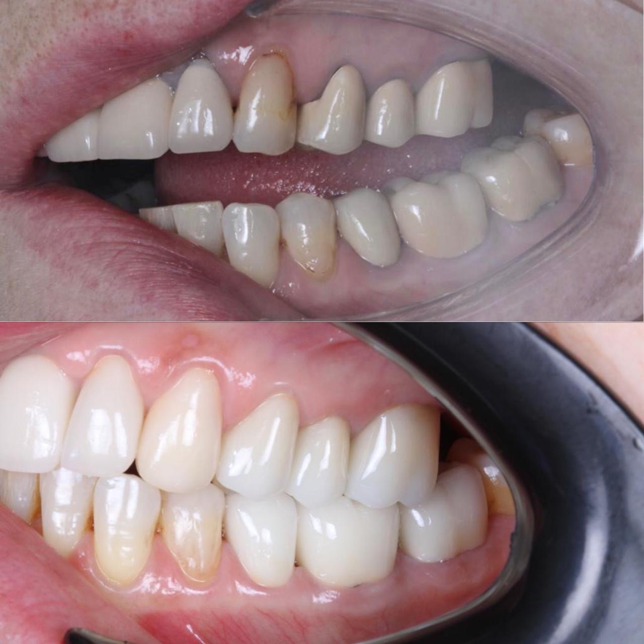
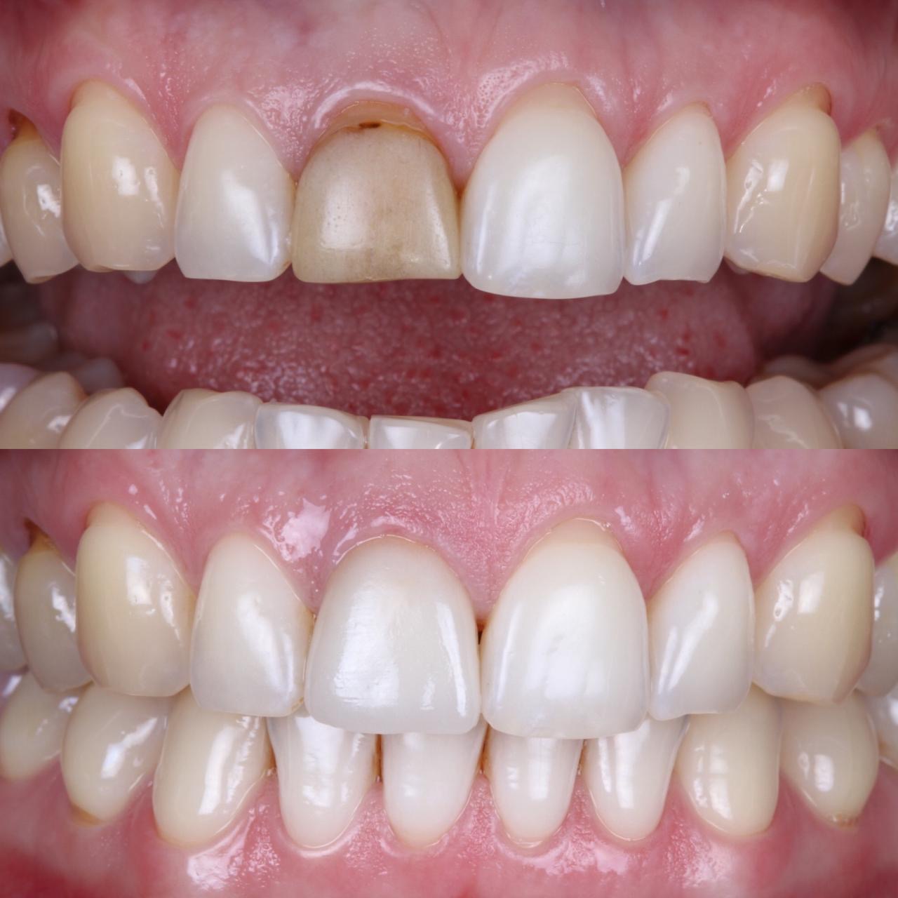
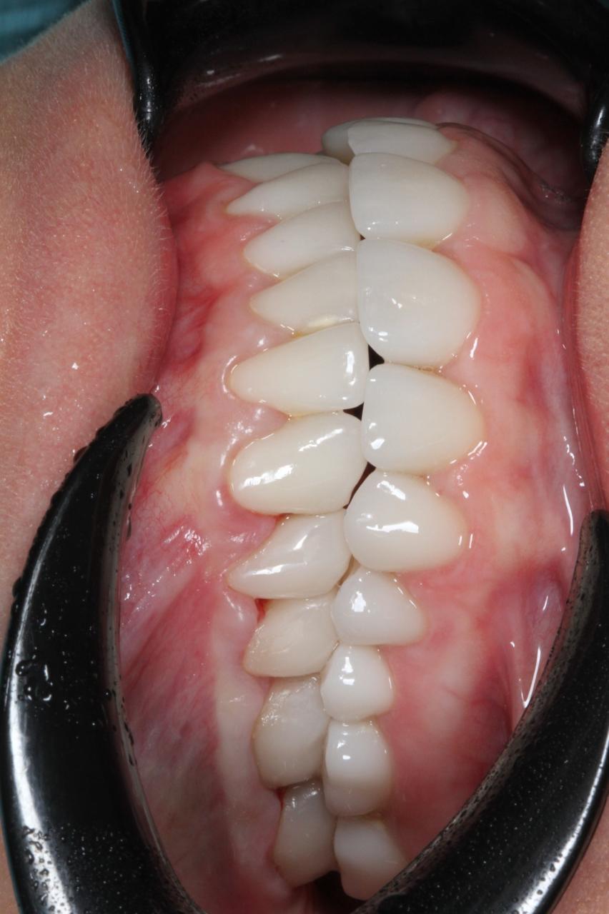
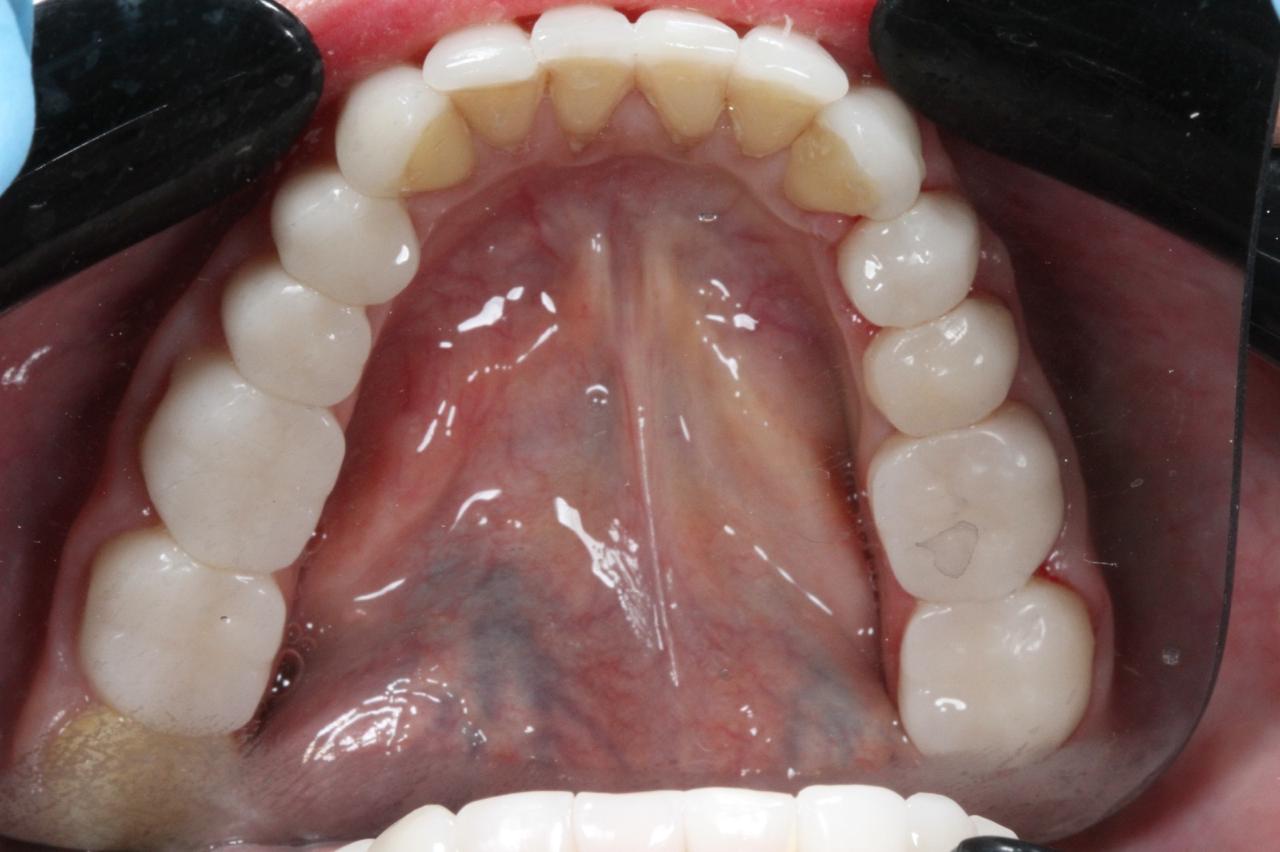
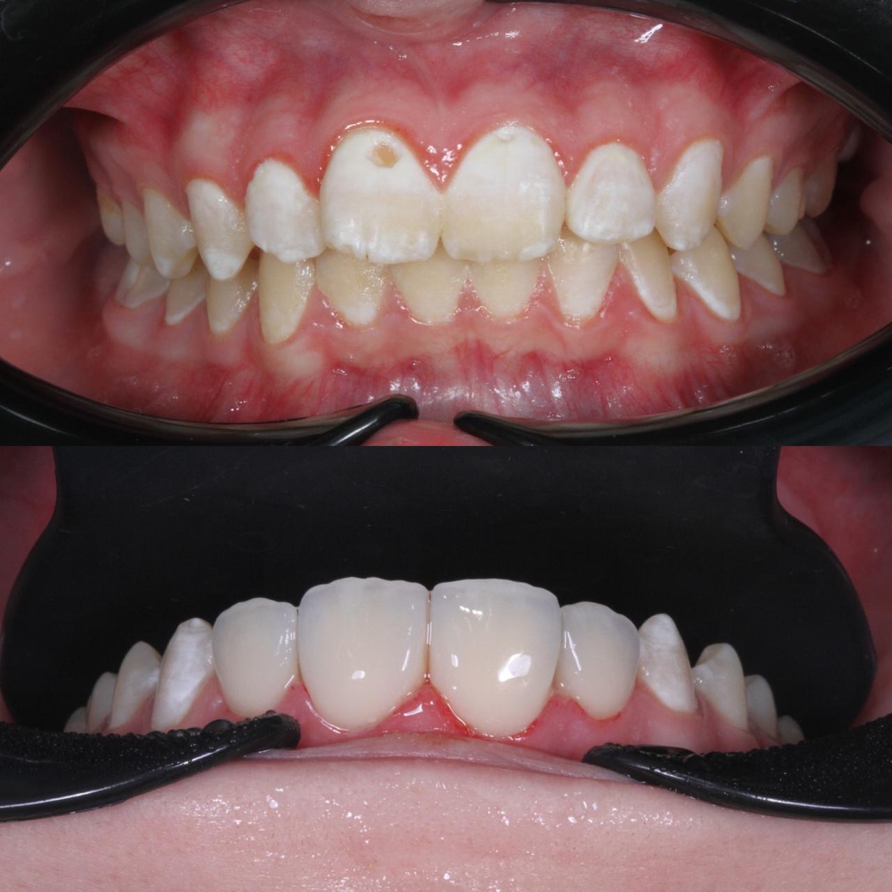
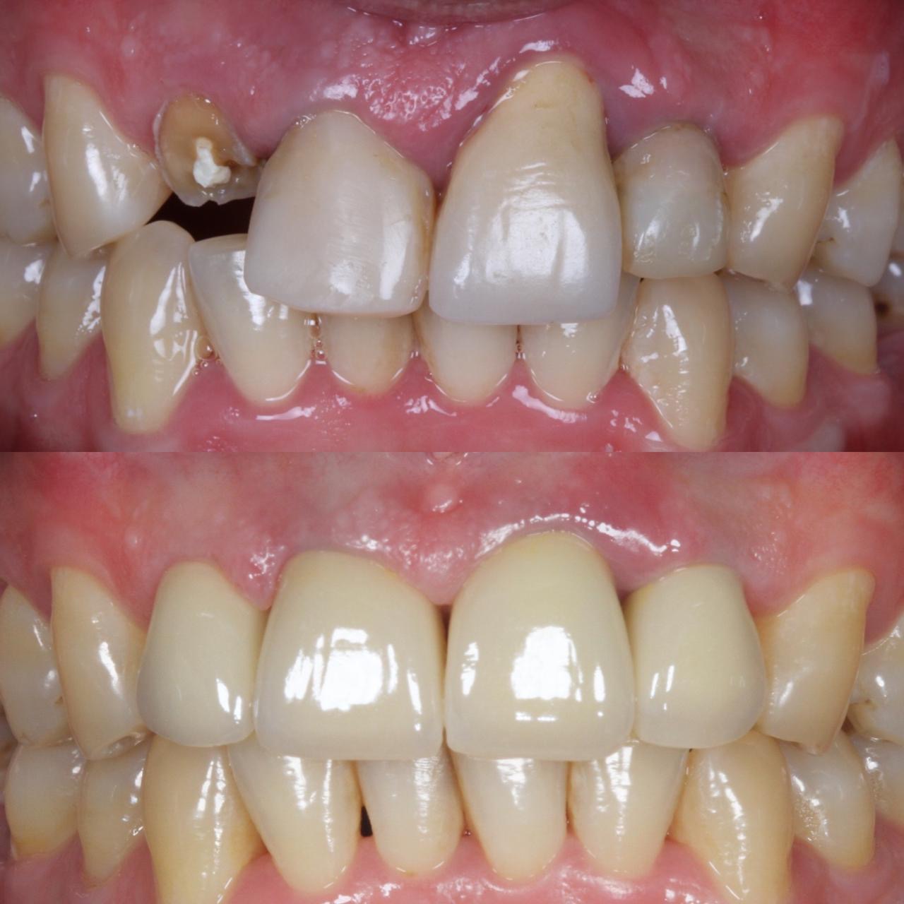
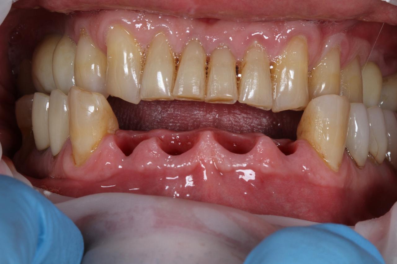
- Комплексное лечение стоматологических больных, в том числе с привлечением смежных специалистов. Функциональный анализ. Компьютерное моделирование и планированание.
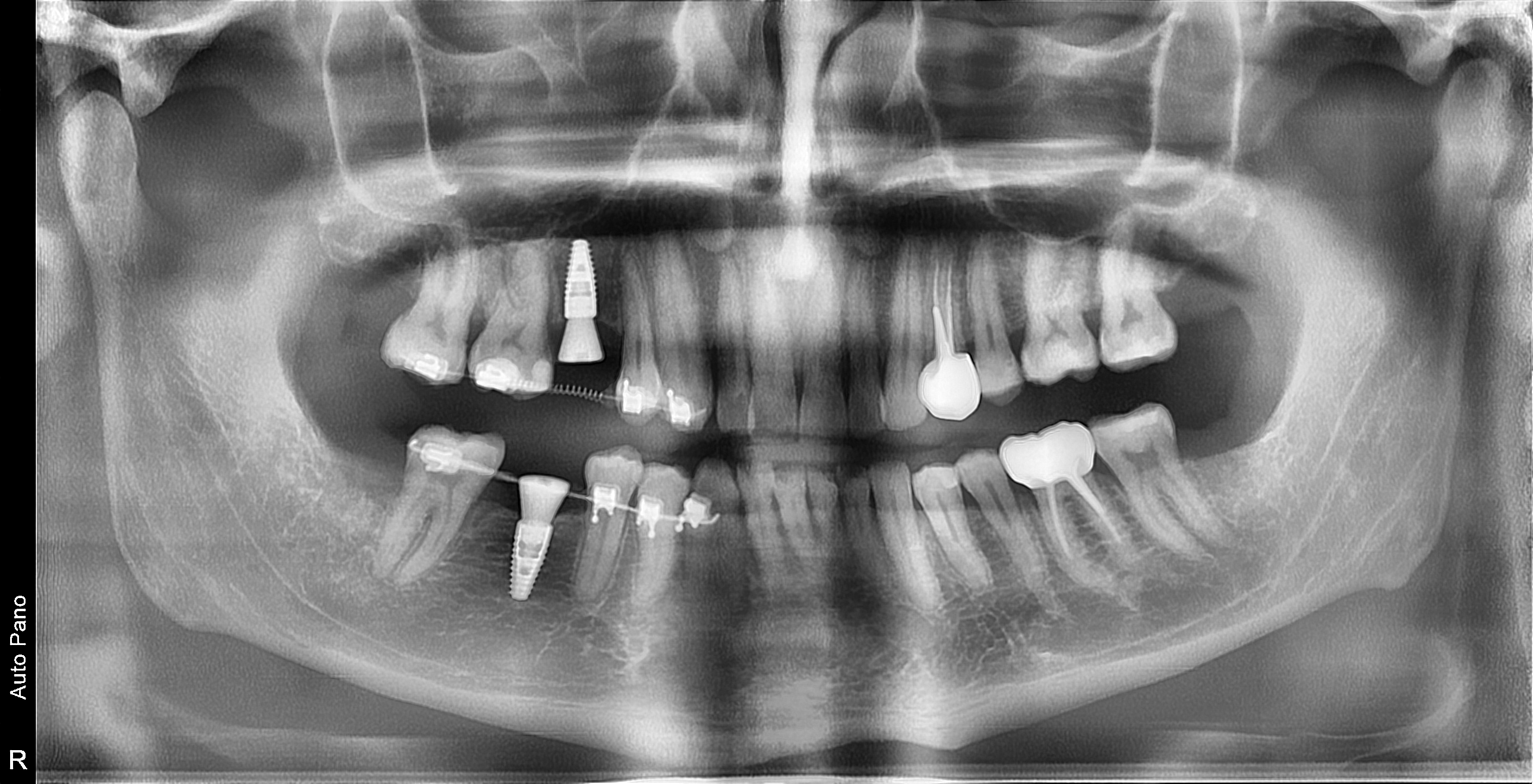
- Планирование и функциональна реабилитация пациентов с полным отсутствием зубов с применением дентальных имплантатов.
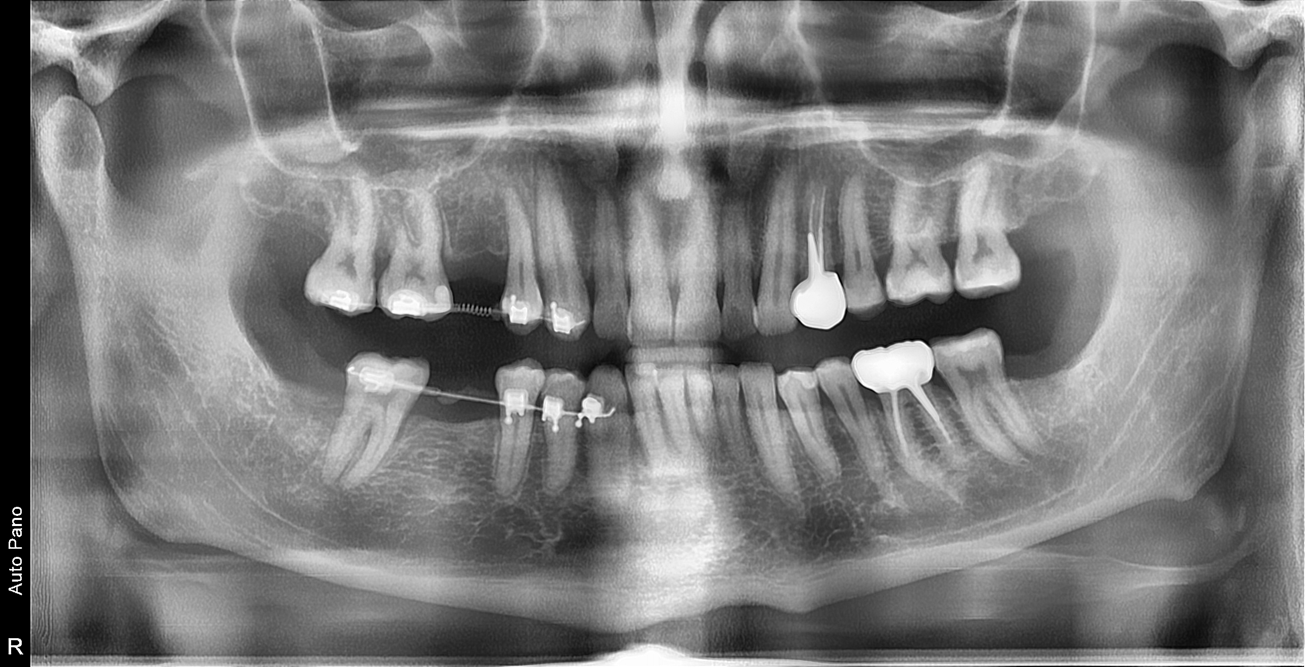
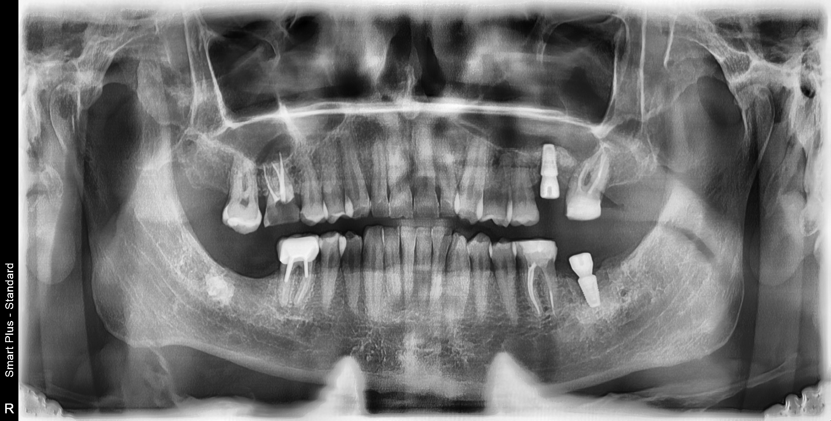
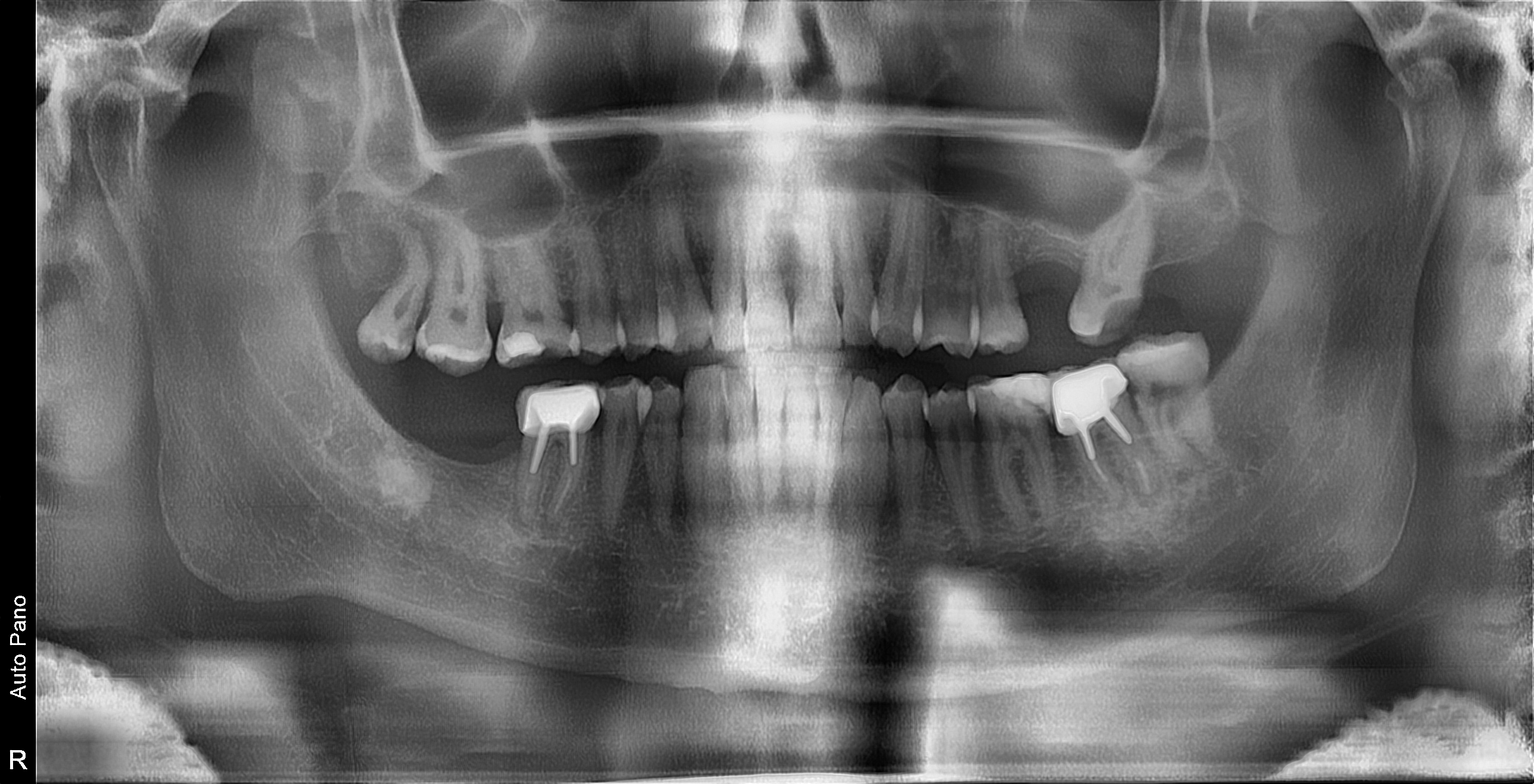
- Дентальная имплантация в полном объеме в том числе при сопутствующей патологии. (одноэтапная и двухэтапная методики; непосредственная и отсроченная нагрузки). Использование хирургических шаблонов.
- Восстановление объема костной ткани щадящим способом по методике направленной костной регенерации, как на верхней, так и на нижней челюсти.
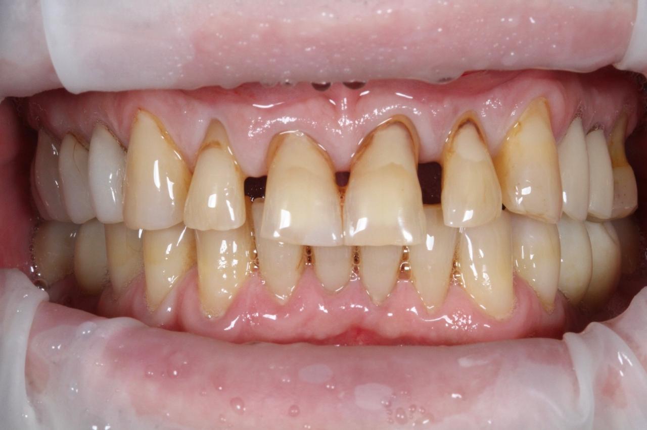
- Открытый и закрытый синус-лифтинг с одномоментной и отсроченной дентальной имплантацией.
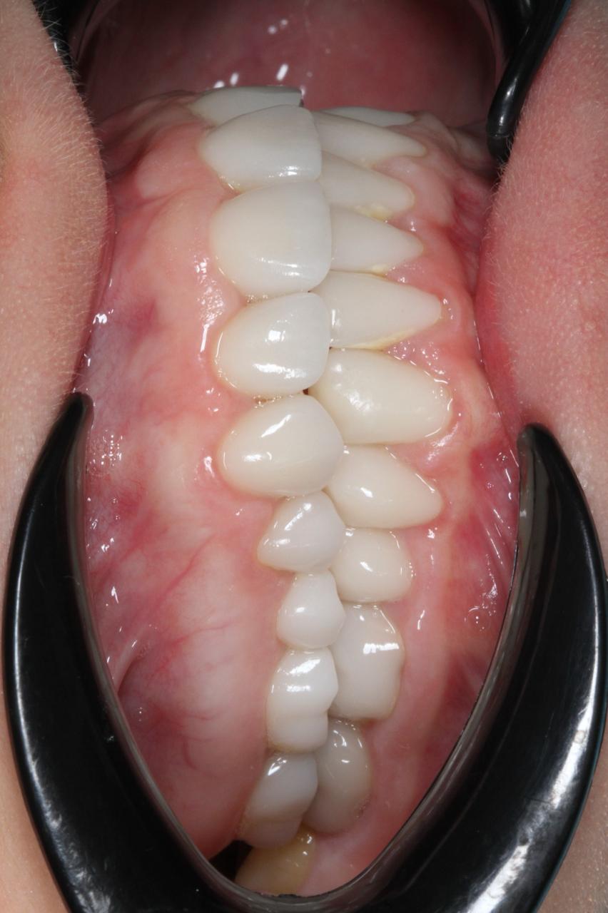
- Восстановление объема мягких тканей перед, во время и после имплантации в зависимости от клинической ситуации с помощью соединительнотканного нёбного трансплантата. Пластика слизистой свободным субэпителиальным лоскутом.
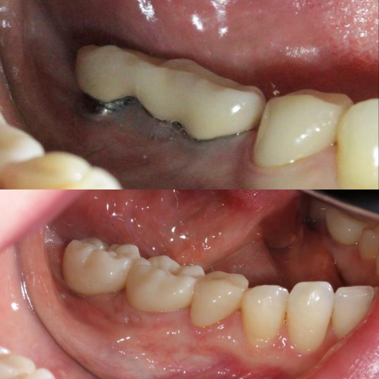
- Удаление зубов верхней и нижней челюсти любой сложности, в том числе с одномоментной имплантацией ( по показаниям и при наличии условий).
- Хирургическое лечение одонтогенных кист челюстей малого и большого размеров (цистэктомия и цистотомия).
- Парадонтологические операции (открытый кюретаж, лоскутные операции).
- Лечение периимплантитов
Образование
- 2020г.Повышение квалификации. Выдан Сертификат Государственного образца по направлению "Стоматология ортопедическая"
- 2019г.Повышение квалификации. Выдан Сетификат Государственного образца по направлению "Стоматология хирургическая"
- 2019г.Повышение квалификации. Курс " b.o.p.t концепция Биологически Ориентированная Техника Препарирования " под руководством Dr. Ignazio Loi
- 2019г.Повышение квалификации. Курс "Современные методики и концепции цифровой стоматологии и функциональной дентальной имплантологии ", образовательный центр Оsstem Ais, лектор доктор медицинских наук, вице-президент ученого совета Международной Ассоциации Имплантологов Soo-Young Lee
- 2018г.Научно-практический курс "Пластика мягких тканей десны в области имплантанта и естественных зубов под руководством японского профессора Dr. Masana Suzuki
- 2018г.Научно-практический курс регенерации костной ткани при выраженной атрофии
- 2017г.Прошел обучение: «Теоретический и практический курс пародонтологии в ежедневной клинической практике»
- 2017г.Повышение квалификации. Курс «Регенеративные технологии в дентальной имплантологии»
- 2017г.Повышение квалификации. Курс «Эволюция подходов при полной реабилитации на имплантах»
- 2016г.Повышение квалификации. Курс «Хирургический протокол одномоментной и отсроченной имплантации с немедленной нагрузкой в сочетании с направленной и костной регенерацией и десневой аугментацией»
- 2016г.Повышение квалификации. Курс «Мукогингивальная хирургия вокруг зубов»
- 2015г.Повышение квалификации. Диплом о профессиональной переподготовке по специальности стоматология ортопедическая
- 2013г.Сертификат «Актуальные вопросы регенерации кости и мягких тканей в имплантологии и пародонтологии» под руководством FredBergman, AdrianKasaj, WolfGrimm
- 2013г.Лекционно-практический курс «Гнатология в стоматологии» г.Минск
- 2010г.Лекционно-практический курс в GMS: «Пластическая хирургическая пародонтология» под руководством Доктора Адриана Касайа
- 2009г.Лекционно-практический курс в GMS: «Имплантация при выраженной атрофии костной ткани»
- 2009г.Лекционно-практический курс: «Костная недостаточность при имплантации» в GMS V
- 2009г.Повышение квалификации в ФГУ Центральном научно-исследовательском институте стоматологии и челюстно-лицевой хирургии по: «Имплантология в стоматологии»
- 2009г.Лекционно-практический курс по: «Дентальная имплантология системы AstraTech»
- 2008г.«Реабилитация пациентов высокоэстетичными несъемными ортопедическими конструкциями. Вкладки, накладки и виниры, изготовленные из керамики и композиционных материалов» в Стоматологическом Клиническом Учебном Центре «БиоСан»
- 2005г.Московский Медико-Стоматологический Университет им.А.И.Евдокимова интернатура по специальности «Стоматология общей практики»
- 2004г.Медицинская академия по специальности врач-стоматолог
Москва, Алтуфьевское шоссе, 56
